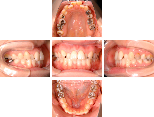
叢生、前歯の傾斜、口元の突出感があり、非抜歯で治療すると前歯の傾斜、口元の突出感は悪くなることが予想されました。
そのため話し合いの結果、上下左右第一小臼歯の抜歯を行い、三十代であったため歯周組織へのダメージを考慮しながら、約3年の期間をかけて治療した症例です。
治療前


治療後

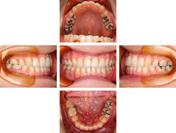
叢生、前歯の傾斜、口元の突出感があり、非抜歯で治療すると前歯の傾斜、口元の突出感は悪くなることが予想されました。
そのため話し合いの結果、上下左右第一小臼歯の抜歯を行い、三十代であったため歯周組織へのダメージを考慮しながら、約3年の期間をかけて治療した症例です。
治療前


治療後

主訴
歯並びの悪さ。
診断名
叢生
年齢
34歳7ヵ月(女性)
装置
マルチブラケット、QH(クワドヘリックス)で上顎の側方拡大
抜歯部位
上下左右第一大臼歯(口元の状態、歯周組織への影響を考慮し、便宜抜歯を選択。)
治療期間
3年2か月
治療費(税込)
833,800円
(内訳…装置料、処置料。抜歯の費用は別途他院でかかります。)
リスク・副作用
・虫歯になりやすいです。
・歯が動く時、痛みが伴うことがあります。
・歯肉が退縮することがあります。
・治療中、歯根が短くなることがあります。
・歯と骨が癒着している場合があります。このような場合は、歯の移動ができませんので、再診断が必要になります。
・顎関節が治療中に痛くなり開口障害、頭痛などが起こることがあります。
・矯正治療が終わると、歯を元に戻そうとする力が働きます。そのため、保定装置を指示通りに使う必要があります。