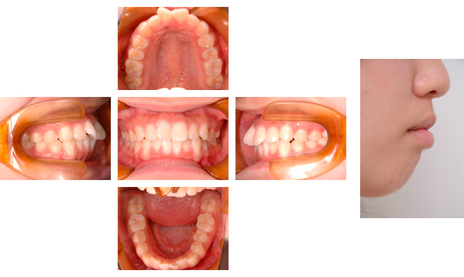
歯並び、噛み合わせだけであれば非抜歯で十分治せる症例でしたが、本人の主訴の一つが、口唇の突出感があったため、上下左右第一小臼歯を抜歯して治療を行った症例です。
治療前


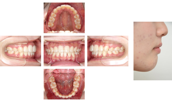
治療後

歯並び、噛み合わせだけであれば非抜歯で十分治せる症例でしたが、本人の主訴の一つが、口唇の突出感があったため、上下左右第一小臼歯を抜歯して治療を行った症例です。
治療前


治療後

主訴
歯並びと口唇の突出感。
診断名
上下顎前突。叢生
年齢
16歳6ヵ月(女性)
装置
マルチブラケット、アンカースクリュー(固定源として)
抜歯部位
上下左右第一小臼歯(主訴の口唇の突出感を改善するために便宜抜歯を選択。)
治療期間
2年10か月
治療費(税込)
817,300円
(内訳…装置料、処置料。抜歯の費用は別途他院でかかります。)
リスク・副作用
・虫歯になりやすいです。
・歯が動く時、痛みが伴うことがあります。
・歯肉が退縮することがあります。
・治療中、歯根が短くなることがあります。
・歯と骨が癒着している場合があります。このような場合は、歯の移動ができませんので、再診断が必要になります。
・顎関節が治療中に痛くなり開口障害、頭痛などが起こることがあります。
・矯正治療が終わると、歯を元に戻そうとする力が働きます。そのため、保定装置を指示通りに使う必要があります。