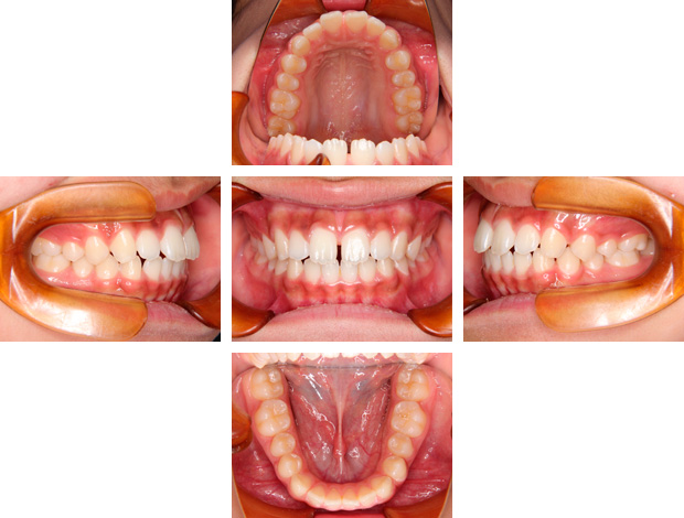
第Ⅰ期治療では、舌が突出しにくい装置、下顎の前方成長誘導、MFT(口腔周囲筋のトレーニング)をおこなった症例です。
指しゃぶりや舌の癖は、歯並びに大きな影響があるので、早い時期に治療を行うことができ、第Ⅱ期治療は、4年経過後に非抜歯で行うことができました。
Ⅰ期治療前


Ⅰ期治療後


Ⅱ期治療後

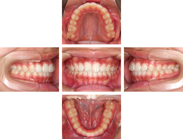
第Ⅰ期治療では、舌が突出しにくい装置、下顎の前方成長誘導、MFT(口腔周囲筋のトレーニング)をおこなった症例です。
指しゃぶりや舌の癖は、歯並びに大きな影響があるので、早い時期に治療を行うことができ、第Ⅱ期治療は、4年経過後に非抜歯で行うことができました。
Ⅰ期治療前


Ⅰ期治療後


Ⅱ期治療後

主訴
上下の前歯のすき間。
診断名
開咬
年齢
7歳0ヵ月(女性)
装置
第Ⅰ期治療…拡大ネジ付きタングガード(取り外し式。舌が突出しにくく、側方拡大も同時に行う)、MFT(口腔周囲筋・舌のトレーニング)
第Ⅱ期治療…マルチブラケット、アンカースクリュー(若干の上顎大臼歯の後方への移動)
抜歯部位
非抜歯
治療期間
第Ⅰ期治療…2年1か月
第Ⅱ期治療…2年
治療費(税込)
第Ⅰ期治療…422,400円
第Ⅱ期治療…462,800円
(内訳…装置料、処置料、アンカースクリュー代、MFT代)
リスク・副作用
・虫歯になりやすいです。
・歯が動く時、痛みが伴うことがあります。
・歯肉が退縮することがあります。
・治療中、歯根が短くなることがあります。
・歯と骨が癒着している場合があります。このような場合は、歯の移動ができませんので、再診断が必要になります。
・顎関節が治療中に痛くなり開口障害、頭痛などが起こることがあります。
・矯正治療が終わると、歯を元に戻そうとする力が働きます。そのため、保定装置を指示通りに使う必要があります。
・第Ⅰ期で使用する取り外し式の装置は、指示通りの時間使用しないと効果が少なくなります。