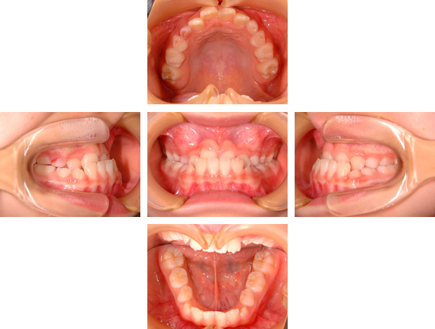
第Ⅰ期治療では、上顎歯列の拡大、上顎骨の前方への成長誘導、MFT(口腔周囲筋のトレーニング)をおこなった症例です。
この患者さんは、その後も噛み合わせが安定していたので第Ⅱ期治療は行わずに終了できました。
Ⅰ期治療前


Ⅰ期治療後


観察終了後

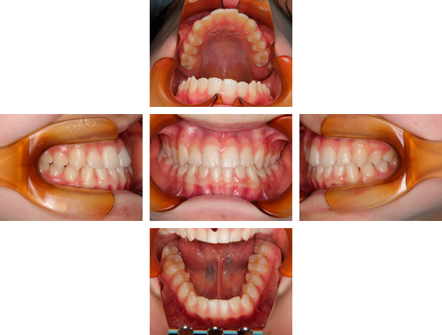
第Ⅰ期治療では、上顎歯列の拡大、上顎骨の前方への成長誘導、MFT(口腔周囲筋のトレーニング)をおこなった症例です。
この患者さんは、その後も噛み合わせが安定していたので第Ⅱ期治療は行わずに終了できました。
Ⅰ期治療前


Ⅰ期治療後


観察終了後

主訴
前歯が受け口になっている。
診断名
反対咬合
年齢
10歳11ヵ月(女性)
装置
上顎の拡大装置、上顎骨牽引装置(フェイシャルマスク)、上顎の前歯4本にマルチブラケット
抜歯部位
非抜歯
治療期間
1年3か月
その後16歳まで1年ごとに観察をおこない、本人・保護者共に満足しているため、マルチブラケット治療は行わずに終了。
治療費(税込)
399,300円
リスク・副作用
治療後に下顎が成長し、反対咬合が再発することもあります。その場合は成長が止まるのを待って、再診断をおこないます。