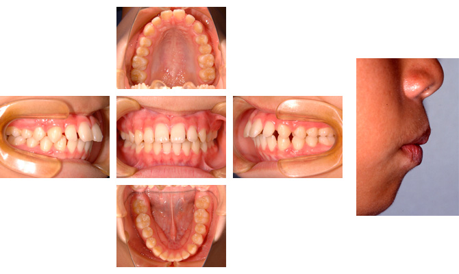
第Ⅰ期治療で患者さんがしっかり取り外し式装置を使用してくれたため、下顎が前方へ成長し、第II期治療は非抜歯になった症例です。
Ⅰ期治療前


Ⅰ期治療後


Ⅱ期治療後

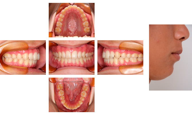
第Ⅰ期治療で患者さんがしっかり取り外し式装置を使用してくれたため、下顎が前方へ成長し、第II期治療は非抜歯になった症例です。
Ⅰ期治療前


Ⅰ期治療後


Ⅱ期治療後

主訴
上の歯がでている。口が閉じにくい。
診断名
上顎前突
年齢
11歳5ヵ月(男性)
装置
第Ⅰ期治療…バイオネーター(下顎の前方への成長誘導)
第Ⅱ期治療…マルチブラケット、アンカースクリュー(上顎大臼歯を後方へ動かすために使用)
抜歯部位
非抜歯
治療期間
第Ⅰ期治療…1年6か月
第Ⅱ期治療…3年
治療費(税込)
第Ⅰ期治療…396,000円
第Ⅱ期治療…492,800円
(内訳…装置料、処置料、アンカースクリュー代)
リスク・副作用
・虫歯になりやすいです。
・歯が動く時、痛みが伴うことがあります。
・歯肉が退縮することがあります。
・治療中、歯根が短くなることがあります。
・歯と骨が癒着している場合があります。このような場合は、歯の移動ができませんので、再診断が必要になります。
・顎関節が治療中に痛くなり開口障害、頭痛などが起こることがあります。
・矯正治療が終わると、歯を元に戻そうとする力が働きます。そのため、保定装置を指示通りに使う必要があります。
・第Ⅰ期で使用する取り外し式の装置は、指示通りの時間使用しないと効果が少なくなります。